Smiling man with dental bonding lying on a couch taking a selfie

Dental Bonding

Unhappy with how your teeth look? Don't shy away from smiles anymore — Dr. Ace Jovanovski has a solution. He routinely uses customized dental bonding treatments to refine concerns like small teeth or yellowed enamel. To discover a beautiful smile with bonding, visit our practice in Round Rock, TX, serving the Georgetown area and beyond.

Not a Candidate? We Have Other Options

/

At our Round Rock, TX, dentist's office, we feature both cosmetic and restorative dental procedures. Patients with widespread smile goals may benefit from veneers, while those with more in-depth structural problems could be eligible for dental crowns. We're happy to explain all your options during your dentistry consultation.

How Dental Bonding Works At Our Round Rock Practice

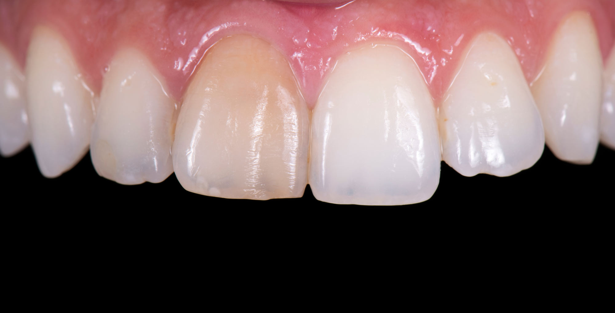
Bonding Consultation

First up, it's time for a consultation. Once our Round Rock dentist has determined that you're a good candidate for dental bonding, we can plan your treatment.

Dental Scans

We will begin by conducting detailed scans of your tooth or teeth using technology like our 3D CT scanner or digital X-rays. Gathering this data allows us to create personally tailored dental results.

Bonding Preparation

Our dentist will ensure your tooth is clean and healthy before treatment. He may also lightly score your enamel to help adhere the bonding material to the tooth.

Bonding Application

Once it's time to conduct your treatment, our dentist will place bonding material on your natural tooth or teeth, carefully shaping it for a lifelike appearance.

Resin Curing

Are you wondering how we get liquid composite resin to harden and stay in place? Simple: we use a curing light.

Final Touches

Every detail matters to Dr. Jovanovski. After showing you your new smile, he'll listen to any concerns you have and make any necessary adjustments until you're completely satisfied.

The Simplicity of Bonding Hear About the Process From Dr. Ace

Want a less involved way to refine your smile? As you'll hear, dental bonding easily fits the bill. If you still have questions, visit our Round Rock dentist for a dental consultation.

Round Rock, TX Appreciates Our Dentist

"Dr. Ace is the best! I brought my daughter to see Dr. Ace after her braces were removed for gum contouring and bonding to build up some small teeth. He and his caring staff put her right at ease and did a beautiful job! She is so happy with her new smile!" Michelle McRae

Does Insurance Help Cover the Cost of Dental Bonding?

Since it's mostly used for cosmetic dentistry, it's unlikely that your bonding will be eligible for insurance — no matter where you go. Additionally, you should know that we do not accept insurance. As a result, we do not have to suffer the reluctance of companies focused on saving a dollar at the expense of your dental results. We're happy to explain more about how we invest in you with high-quality materials and state-of-the-art technology.

Logo icon

Jovan Prosthodontics

Dr. Ace Jovanovski of Jovan Prosthodontics is dedicated to helping patients improve their lives with the highest quality dental care. As a dentist with a prosthodontic background, Dr. Jovanovski specializes in restoring teeth with premium dental implants, custom dentures, and more. Our professional affiliations include the:

  • American Dental Association
  • American College of Prosthodontics
  • Texas Dental Association
  • Capital Area Dental Society
  • American Academy of Cosmetic Dentistry
  • International Congress of Oral Implantologists
  • Academy of Osseointegration
  • American Academy of Implant Dentistry

You can request a consultation at our Round Rock, TX, practice by submitting our online form or calling (512) 716-1200.

Contact Us

Rate, Review & Explore

Social Accounts Sprite